Archivo 30 Marzo 2019

Abascal revela el programa de VOX: aborto ilegal, mili obligatoria y cine patriótico

Abascal revela el programa de VOX: aborto ilegal, mili obligatoria y cine patriótico

El líder del partido de extrema derecha avanza su programa electoral en el último libro de Sánchez Dragó.

Hemorragias, infecciones e inflamaciones el calvario actual de los 'Ken Humanos'

Hemorragias, infecciones e inflamaciones el calvario actual de los 'Ken Humanos'

Convertirse en el 'Ken Humano' no es un camino precisamente fácil y si no que se lo pregunten a Rodrigo Alves, Celso Santebañes o Mauricio Galdi.

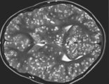
Muere con 18 años con el cerebro lleno de larvas tras comer carne cruda

Muere con 18 años con el cerebro lleno de larvas tras comer carne cruda

El chico acudió al servicio de urgencias después de sufrir convulsiones y dolores en todo el cuerpo. La infección se produjo por comer carne cruda.

Unos científicos aseguran haber encontrado vida en Marte

Unos científicos aseguran haber encontrado vida en Marte

Un grupo de investigadores ha mostrado en la revista 'Asrobiology and Space Science' imágenes de presuntos bejines en la superficie del planeta rojo.

Toda la familia directa del Rey Felipe que apoya públicamente a la ultraderecha de VOX

Toda la familia directa del Rey Felipe que apoya públicamente a la ultraderecha de VOX

En más de una ocasión, algunos Borbones han apoyado o colaborado directamente con la ultraderecha española. Hacemos un repaso de esas situaciones.

'La Reina del brillo', o cómo tener a toda una generación pendiente de su día a día

'La Reina del brillo', o cómo tener a toda una generación pendiente de su día a día

La nueva 'influencer' que triunfa en Instagram y su novio Ramón acumulan ya más de 65.000 seguidores y han revolucionado Internet.

Ranking de las empresas más valoradas en España para trabajar, según la revista Forbes

Ranking de las empresas más valoradas en España para trabajar, según la revista Forbes

La Revista Forbes elabora un ranking de la 50 empresas mejores valoradas para trabajar en España.

El homenaje de Google a María Moliner en uno de sus artísticos 'doodles'

El homenaje de Google a María Moliner en uno de sus artísticos 'doodles'

María Moliner, primera mujer en optar a un sillón en la RAE y autora del 'Diccionario de uso español', es la protagonista del 'Doodle' de Google.

Relevan a la única portavoz trans de Ciudadanos porque "no da el perfil"

Relevan a la única portavoz trans de Ciudadanos porque "no da el perfil"

María Jesús López ha abandonado el partido después de que le indicasen que "un hombre tiene que liderar la candidatura de Ciudadanos".

Condenados y destituidos de manera sucesiva dos líderes de VOX en Granada por estafas

Condenados y destituidos de manera sucesiva dos líderes de VOX en Granada por estafas

VOX prescindió de Ignacio Nogueras por implicaciones en estafas. Ahora se deshacen de Julio Vao, sucesor de Nogueras; por motivos similares.

Un economista desmonta las teorías de Pablo Casado en un hilo de Twitter

Un economista desmonta las teorías de Pablo Casado en un hilo de Twitter

Uno de los jefes de la Oficina de Economía de Moncloa deshace todos los argumentos políticos de Casado.

El Gobierno de España prohíbe los cerdos vietnamitas y las tortugas como mascota

El Gobierno de España prohíbe los cerdos vietnamitas y las tortugas como mascota

El Consejo de Ministros hace efectiva la actualización del 'Catálogo español de especies exóticas'. Se han prohibido 4 especies en esta revisión.

Caso espías contra C's: les controlaban con una cámara oculta en el Ayuntamiento de Mijas

Caso espías contra C's: les controlaban con una cámara oculta en el Ayuntamiento de Mijas

Los autores habrían colocado cámaras ocultas y pinchado teléfonos para conocer todos los movimientos tanto de políticos como de trabajadores.

Frase del día
Foto del día

Síguenos en redes

  • Facebook
  • Twitter
  • YouTube
  • Instagram